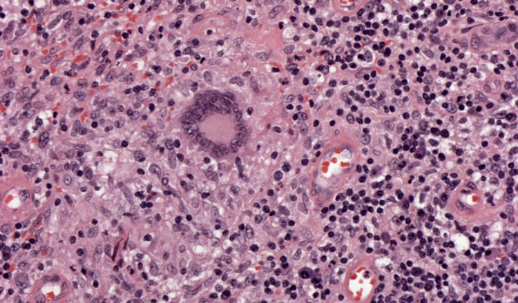
Langhans tipi dev hücreler, Langhans dev hücreleri, Langhans dev hücresi veya Langans tipi dev hücre (İngilizce:Langhans giant cell), yangısal hücrelerden epiteloid makrofajların oluşturduğu özel bir yangı hücresidir.
Organizma genellikle yüksek virulansa sahip bir etkenle infeksiyon geçirdiğinde yangısal yanıtı da beraberinde getirir. Bu yanıt ile birlikte fagositoz özelliğine sahip makrofajlar yoğun bir şekilde yangı sahasına göç ederler ve sanki epitel hücreler gibi dizilirler. Bazen bu organizasyonun da yetersiz kaldığı durumlarda sayıları 10 ile 20 arasında değişen sayıda epiteloid hücrenin çekirdeği birleşerek dev hücrelerini oluşturur. Langhans tipi dev hücre de bunlardandır.
Görünümleri bir at nalını andırır. Çekirdekler hücre membranına yakın konumda ve sıralı bir şekilde görünürler.
Langhans tipi dev hücrenin görüldüğü bazı hastalıklar; tüberküloz ve pseudotüberküloz‘dur. Bunların dışında ilereyen kronik yangılarda veya granülasyon dokularında da görülürler.

